Детям
Подросткам
Лечение зубов
Взрослым
Консультация и диагностика
Лечение зубов
Гигиена полости рта
Верните себе уверенность, здоровье и естественную улыбку
Верните себе уверенность, здоровье и естественную улыбку
Счастливые часы
Подробнее
Все акции
Подробнее
Акция
Лечение под наркозом — 0 ₽*
*Первые 30 минут применения препарата Севоран. При условии длительности подачи наркоза
не менее 60 минут.
Записаться

Бутина Елена Александровна

Главный врач
Детский стоматолог
Стоматолог-терапевт
Как настоящая зубная фея, Елена Александровна поможет маленькому пациенту полюбить стоматологов, даже если раньше это был его самый главный страх.

Главный врач детской стоматологии Атис Кидс со стажем работы более 12 лет. Елена Александровна легко справляется со всеми зубными проблемами: кариес и его осложнения, восстановление поврежденных зубов. Безопасность, комфорт, лечение по международным протоколам — главный девиз Елены Александровны. Для нее главное — создать у каждого ребенка приятные воспоминания о лечении. Для деток, у которых был негативный опыт лечения в прошлом, Елена Александровна подберет комфортное лечение в седации или во сне.
Записаться на прием

Работает со дня основания клиники, в настоящее время — главный врач клиники. Является членом ассоциации детских стоматологов России

Адаптация для детей с негативным опытом лечения зубов

Проводит комфортное, грамотное лечение маленьких пациентов в седации (закись азота) и в условиях общего обезболивания (в наркозе)

Проводит реставрации с использованием циркониевых коронок, восстановление жевательных зубов с помощью коронок

Кариес Пульпит
Коронки на молочные зубы
ICON
Реставрация молочных зубов
Периодонтита
Лечение постоянных зубов
Адаптация детей к лечению
Лечение в седации
Лечение во сне

Образование и повышение квалификации

Образование

  • 2006 - 2011 гг. - Уральская государственная медицинская академия (УГМА) Федерального агентства по здравоохранению и социальному развитию по специальности «Стоматология».
  • 2011 - 2012 гг. - интернатура в УГМА по специальности «Стоматология общей практики».
  • 2015 г. – Первичная специализация «Стоматология Детская».
  • 2019 г. - Первичная специалиция «Организация здравоохрания и общественное здоровье»

Курсы повышения квалификации:

  • 2017 г. – Автономная некоммерческая организация дополнительного профессионального образования «Уральский региональный центр образования», повышение квалификации по программе «Избранные вопросы стоматологии».
  • 2020 г. - «Актуальные вопросы детской стоматологии».
  • 2021 г. - «Актуальные вопросы терапевтической стоматологии: от пломбы к реставрации».
  • 2021 г. - «Экспертиза временной нетрудоспособности».
  • 2022 г. - «Стоматология общей практики».

Сертификаты:

  • 2012 г. - Екатеринбург «Особенности подготовки и восстановления жевательной группы зубов» Лектор Костромская Н.Н (км, ассистент кафедры терапевтической стоматологии УрГМА).
  • 2013 г. - Екатеринбург «Функциональные и эстетические особенности реставрации жевательной группы зубов. Восстановление контактного пункта» (Kerr) .
  • 2014 г. - Екатеринбург «Пороки развития твердых тканей зубов у детей. Молярно- резцовая гипоминерализация зубов у детей. Использование стандартных нержавеющих коронок у детей».
  • 2015 г. - Екатеринбург «Современные тренды в детской стоматологии».
  • 2015 г. - Москва IV Российско-Европейский конгресс по детской стоматологии.
  • 2017 г. - Екатеринбург подтверждение Сертификата «Стоматология Общей Практики».
  • 2019 г. - Новосибирск «Полное погружение в Детство» Лектор – Адаева Наталья.
  • 2019 г. - OHI- S Марк Семпер «Использование КЛКТ при травме зубов».
  • 2019 г. - OHI- S Татьяна Пешко «Стоматология для детей до 3х лет – клинические советы для повседневной практики».
  • 2019 г.- OHI- S PRASAD KRISHNAJI MUSALE «Современное эндодонтическое лечение временных зубов».
  • 2021 г. - «Врач -Пациент-Родитель. Психология общения»
  • 2023 г.- «Работать без конфликтов с пациентами. Организационные решения и индивидуальные алгоритмы». Лектор Стюф Я.В.
  • 2023 г. - «Роль и задачи главного врача в системе управления клиникой». Лектор Семенов А.Б.

Сертификаты

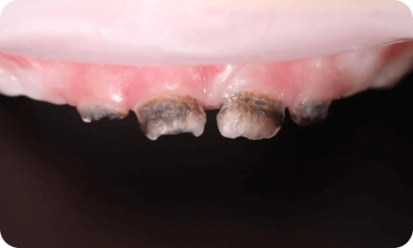
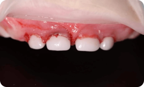
Фото работ

Восстановление молочных зубов коронками
Бутина Елена Александровна
Восстановление молочных зубов коронками
Бутина Елена Александровна
Восстановление молочных зубов коронками
Бутина Елена Александровна

Отзывы

vAminova
4 января 2022
Терапия
Помогли в экстренной ситуации, ребёнок не спал и не ел несколько дней из за пульпита. Ни одна клиника либо не принимала, либо ребёнок плакал (очень громко) в кресле у врача. Через пару дней после экстренной сдачи анализов вылечили все зубы под сном, все было на высочайшем уровне! Обязательно вернёмся к вам снова ! Отельную благодарность Бутиной Е.А, анастезиологу Ерёмину В.С. Профессионалы своего дела!

Записаться на прием

Ответим на все вопросы и подберем удобное время
Телефон
+7 (343) 363-77-72
Режим работы
Пн-Пт: 09:00-20:00
Сб-Вс: 09:00-17:00
ООО "АТИСФАБЕР-КИДС"
ул. Шейнкмана, д. 121, помещение 34-40
ОГРН: 1196658028490, ИНН: 6671095153, КПП: 667101001
Имеются противопоказания, необходима консультация специалиста